약물치료
주사치료
체외충격파치료
도수치료
비수술적 치료 위주로 치료하며, 시기를 놓쳐
굴곡 구축이 남는 경우가 없도록 적절히 수술 시기를 결정합니다.
손목의 횡수근 인대가 두꺼워져 인대 바로 아래에 있는 정중신경이
눌려서 손바닥의 저림 증상을 유발하는 병입니다.
현대인의 병이라고도 불리우며, 스마트폰 사용 등과 관련성이 높고,
가사일을 많이 하는 주부에게 호발합니다.


정확한 발병 기전이 밝혀지지는 않았으나 과도한 손목 사용, 손목의 과도한 굽힘, 진동 공구의 사용 등이 원인으로
횡수근 인대가 두꺼워지거나 손목 터널 내부 공간이 좁아질 수 있는 모든 원인이 손목터널증후군의 원인이 될 수 있습니다.

손목 통증과 함께
손가락까지 저린 증상이 있을 때

특히 저린 증상이 엄지부터 약지까지
국한되어 있고 소지의 저린감은 심하지 않을 때

밤에 깰 정도의 통증이
있을 때



비수술 치료
약물치료
주사치료
체외충격파치료
도수치료
시술치료
내시경하 손목터널
유리술
수술치료
개방형 수근관
유리술




비수술 치료에도 호전이 없을 경우에 시행하며 대부분의 경우 내시경적 손목터널 유리술이 가능합니다.



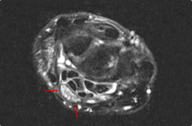
MRI 에서 다음과 같이 신경이 눌려 있고, 횡수근 인대 전단계에는 신경이 부어 있는 모습이 관찰되면
중증의 손목터널증후군으로 판단할 수 있습니다.
손목의 작은 절개만으로 다음과 같이 내시경으로 손목 터널의 횡수근인대 부위를 직접 보면서 안전하게 유리할 수 있습니다.
적절한 시기에 수술을 했다면 대개 다음 날부터 증상 호전을 경험할 수 있습니다. 1박 2일 정도의 입원이 권장됩니다.