약물 치료, 파라핀 치료
주사치료
체외충격파치료
도수치료
비수술적 치료 위주로 치료하며, 시기를 놓쳐
굴곡 구축이 남는 경우가 없도록 적절히 수술 시기를 결정합니다.
손가락의 관절염은 크게 류마티스성 관절염과 퇴행성 관절염으로 나뉩니다.
두 질환은 근본적으로 발생 원인이 다르며 퇴행성 관절염은 과도한 사용이 원인이 되어 관절이 닳게 되는 퇴행성 질환입니다.
주로 류마티스 관절염은 근위지절을 침범하며 다른 내과적인 증상이 동반할 수 있으며 염증 수치가 올라가고,
퇴행성 관절염은 원위지절을 주로 침범하여 손가락 마디가 두꺼워 지게 됩니다.

노화
나이가 들면서 관절 연골이 닳고 얇아지면서 뼈와 뼈 사이의 마찰이
증가하여 염증과 통증을 유발합니다. 가장 흔한 원인이며, 일반적으로
50대 이후에 많이 발생합니다.
유전적 요인
가족력이 있는 경우 손가락 퇴행성 관절염에 걸릴 확률이 높아집니다.
특정 유전자가 관절 연골의 구성과 품질에 영향을 미칠 수 있습니다.
손가락의 과도한 사용
손가락을 반복적으로 사용하거나 무리한 힘을 가하는 작업을 하는 경우
관절에 부담이 가중되어 퇴행성 관절염이 발생할 수 있습니다.
예를 들어, 피아니스트, 미용사 등의 직업군에서 발생 위험이 높습니다.
외상
손가락 골절이나 탈구 등의 외상은
관절 연골에 손상을 주어 퇴행성 관절염으로 이어질 수 있습니다.

초기 증상으로는, 손가락 관절의 통증과 뻣뻣함이 있으며, 관절 주변이 자주 붓고 열감이 느껴질 수 있습니다.
시간이 지남에 따라 다음과 같은 증상이 나타날 수 있습니다.
관절의 변형
관절 운동 제한



비수술 치료
약물 치료, 파라핀 치료
주사치료
체외충격파치료
도수치료
수술 치료(증상 개선)
골극 절제술 및
점액낭종 절제술
수술 치료(완치)
관절 유합술




단순히 끝마디 관절염만 있을 때 골극 절제술을 잘 시행하지는 않지만 점액낭종이 생겨 손톱 변형이 있고 통증이 있을 때 점액낭종 절제술과 함께 골극 절제술을 같이 시행해볼 수 있습니다.

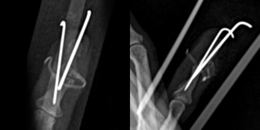
관절 유합술의 경우 “H” 절개를 통하여 관절을 충분히 노출시킨 후 관절 연골을 깨끗하게 제거하여 뼈와 뼈가 직접적으로 맞닿도록 한 후 이를 이용하여 고정합니다. 뼈 손상을 최소화하기 위하여 두 개의 K 강선으로 축고정과 회전고정을 하는 방식을 이용하며 6-8주 째 K 강선을 제거합니다.

점액 낭종은 손가락에서 생기는 결절종이기 때문에 결절종과 마찬가지로 다음 사진처럼
관절과 연결된 뿌리를 잘 찾아가서 제거해주는 것이 재발을 줄이는 방법입니다.
피부가 얇아져 있어서 피부를 일부 같이 포함하여 절제하는데, 피부 결손이 큰 경우 피부 이식이 필요한 경우도 있습니다.
* 환자에게 받은 소중한 자료입니다.
관절 유합술의 경우 증상이 심한 중증 관절염이 대상이 되며, 관절을 영구적으로 굳히는 수술이기 때문에
통증은 사라지고 휘어졌던 손가락이 일자가 되지만 끝마디 굴곡이 불가능해집니다. 직업적인 필요에 따라 굽힌 상태로 굳힐 수도 있으나
원위지절의 경우 일반적으로 완전히 편 상태로 굳히게 됩니다. 사람마다 차이가 있으나 한, 두 손가락에 하는 경우
굳어 있는 것에 대한 불편감보다는 통증 완화로 인한 만족감이 훨씬 높습니다.