비수술적 치료 위주로 치료하며, 시기를 놓쳐 신경 손상이 남는 경우가 없도록
적절히 수술 시기를 결정합니다.
손목 관절 주변에 발생하는 혹으로, 관절을 둘러싸고 있는 막에서
관절액이 새어 나와 고이면서 발생합니다.
결절종은 이론상 어디든 발생할 수 있으나, 주로 손바닥 쪽이나
손등 쪽, 혹은 손가락, 발목 등에 발생합니다.
손목 결절종은 손목에서 가장 흔하게 발생하는 양성 종양이며,
위치에 따라 통증이나 불편함을 유발할 수 있습니다.


손목 결절종의 정확한 원인은 아직 밝혀지지 않았습니다.
다만, 손목 관절의 과도한 사용이나 반복적인 동작, 외상 등이 원인으로 작용할 수 있으며 관절막이나 힘줄막의
미세한 손상이 발생할 경우 그 곳을 뿌리로 하여 발생할 수 있습니다.

손목에 혹이 만져지는 경우

손목에 느껴지는 통증

손목 운동 제한

손가락 저림
손목 결절종은 대부분 통증이 없지만, 크기가 커지거나 신경을 압박하면 통증이나 저림 증상이 나타날 수 있습니다.



비수술 치료
관찰
약물치료
주사치료(흡인술)
부목 고정
시술 치료
관절경하 결절종
절제술
수술 치료
개방형 결절종
절제술



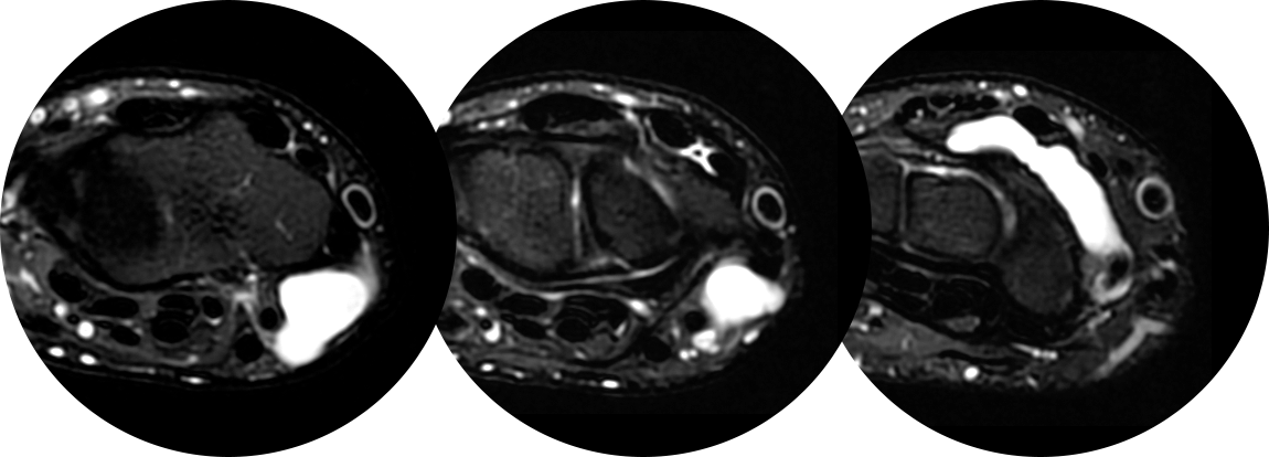
손목 앞쪽의 결절종이 있었지만, 뿌리는 손등쪽하고 연결된 까다로운 경우의 MRI 입니다.
만약 MRI 를 찍지 않았다면 손목 앞쪽에 보이는 결절종만 제거하여 재발 가능성이 높을 수 있는 경우입니다.


이 환자의 경우 앞, 뒤에 절개를 넣어 뿌리까지 제거해주어 재발 없이 유지되었습니다.

* 환자에게 받은 소중한 자료입니다.
손등의 횡절개 방법은 가장 미용적이며, 상처에 의한 통증도 덜 남는 절개 방법으로 손등쪽 결절종에 경우 대부분 적용 가능합니다.
다음 사진들처럼 수술시 관절에 연결된 뿌리까지 찾아서 제거하여야 재발하지 않기 때문에 수술자의 기술이 특히 중요한 수술입니다.
상완신경총 마취를 주로 시행하며 1박 2일 정도의 입원이 권장됩니다.