주사 흡인술
체외충격파치료
도수치료
정확한 진단을 통하여 무조건 비수술적 치료, 무조건 수술적 치료가 아니라
환자의 상태에 맞는 최선의 치료를 선택할 수 있게 합니다.

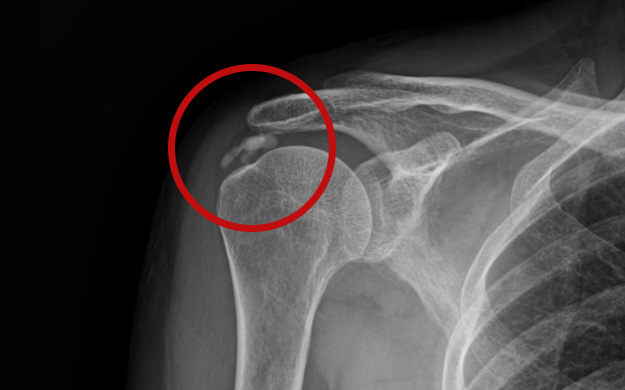
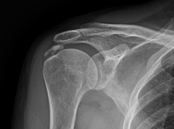
어깨 힘줄 내부에 칼슘 석회가 침착되어 힘줄의 손상과 함께 통증을 유발하는 질환입니다.
석회화건염은 외상으로 인해서 발생하는 것과 무관합니다.
주로 40대 연령층에서 흔하게 발생하는 질환입니다.
석회화건염은 어깨 질환중 갑작스럽게 통증이 나타나는 경우가 많이 있습니다.
통증으로 인해 어깨와 팔의 움직임이 제한되고 목까지 통증이 이어지게 됩니다.
힘줄의 퇴행성 변화로 발생하는 경우
어깨를 과도하게 사용한 경우
힘줄 부위에 혈액순환이 부족한 경우
잘못된 생활습관이 지속되는 경우
어깨 속에 석회가루가 쌓여 통증을 유발하는 석회화건염은
움직임이 제한되고 혈액순환 장애와 염증반응을 유발합니다.
석회는 신체 어느 부위에서나 발생할 수 있으나 어깨에 가장 많이 발생합니다.


특별한 이유 없이
극심한 통증이 나타납니다.

밤이면 통증이 심해져
수면 장애가 일어납니다.

어깨 움직임에
제한이 발생합니다.



비수술 치료
주사 흡인술
체외충격파치료
도수치료
수술적 치료
관절 내시경을 통한
석회제거술



내시경을 통하여 석회를 직접 보며,
힘줄 손상을 최소화시켜 석회 및 염증을 제거합니다.

이러한 경우
석회 제거술을
고려합니다.
수차례 충격파 치료 등에도 호전되지 않는 경우
주사 흡인술이 가능하지 않은 경우(오래되거나 딱딱한 석회)
1-2Cm 이상의 큰 석회
운동 범위의 감소가 매우 큰 경우
힘줄 파열이 동반되어 있는 경우