개방형 유리술의 경우 다음 그림처럼 1cm 정도의 횡절개로 시행되며 눈으로 직접 보면서 A1 활차를 절개하기 때문에 조금 더 확실한 치료이고, 다른 병변에 대한 동시 처치가 쉬운 장점이 있습니다.
개방형 수술의 경우 1박 2일 입원이 권장됩니다.
비수술적 치료 위주로 치료하며, 시기를 놓쳐
굴곡 구축이 남는 경우가 없도록 적절히 수술 시기를 결정합니다.
손가락의 과도한 사용과 관련 있는 병으로 손가락을 굽히는 힘줄의 병입니다.
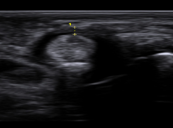
학술적으로는 협착성 굴곡건염이라고 표현하고, A1 활차라는 터널에 굽히는 힘줄이 마찰되다가 힘줄의 내부적인
변화가 일어나 병이 생긴 상태를 의미합니다. 내부적인 변화가 심해질 경우 힘줄이 부어 결절을 이룰 수도 있는데
이러한 경우 A1 활차에 끼어서 딸깍 거리거나 걸려서 안 펴지는 증상이 생깁니다.

방아쇠 수지의 정확한 발병 기전이 밝혀지지는 않았으나,
과도한 손가락 사용이 가장 큰 원인입니다.
퇴행성 변화를 의미하는 건병증이 건초염보다 더 합당한 용어이며,
나이 드는 것과도 관련이 있습니다. 류마티스성 질환이 있는 경우 다발성으로 여러 손가락에 나타날 수도 있어, 증상이 여러 손가락에 발생한 경우 류마티스 인자에 대한 검사를 권유 받으실 수도 있습니다.

손가락을 굽히거나 펼 때 통증이 있고 A1 활차에
해당하는 부위를 눌렀을 때 심한 통증이 발생
딸깍거리는 증상이 느껴지는 경우
한 번 구부리면 잘 안 펴지다가 다른 손가락으로
펴야 펴지는 경우
손가락이 끝까지 안 구부러지거나 근위지절까지
같이 불편한 경우




비수술 치료
약물치료
주사치료
체외충격파치료
도수치료
시술 치료
경피적 A1 활차 유리술
(하키나이프. 1mm)
수술 치료
개방형 A1 활차 유리술
(최소절개, 1cm)



당일 입원으로 One day Surgery로 시행하고 있으며,
1mm 정도의 구멍으로 하는 시술이어서 수술 후 통증이 적고 3일 정도 후부터 손을 씻는 것이 가능합니다.


하키나이프를 이용한 경피적 유리술의 경우 당일 수술 후 퇴원이 가능하고 (1일 입원)
1mm 정도의 창상만으로 시행하게 되어 재활이 빠른 장점이 있습니다. 주로 걸리는 것이 문제인 방아쇠 수지 환자의 경우 권장됩니다.
개방형 유리술의 경우 다음 그림처럼 1cm 정도의 횡절개로 시행되며 눈으로 직접 보면서 A1 활차를 절개하기 때문에 조금 더 확실한 치료이고, 다른 병변에 대한 동시 처치가 쉬운 장점이 있습니다.
개방형 수술의 경우 1박 2일 입원이 권장됩니다.