정확한 진단을 통하여 무조건 비수술적 치료, 무조건 수술적 치료가 아니라
환자의 상태에 맞는 최선의 치료를 선택할 수 있게 합니다.
무릎 외래 교수 전문의 무릎 재생술, 십자인대 재건술, 반월상 연골판 수술부터 비수술 치료와 회복 관리까지 책임집니다.
풍부한 경험과 전문성을 갖춘 무릎 전문의가 정밀 검진과 정확한 진단을 통해 환자에게 꼭 맞는 치료법을 제시합니다.

“ 무릎에 언제, 어떤 통증이 발생하시나요? ”
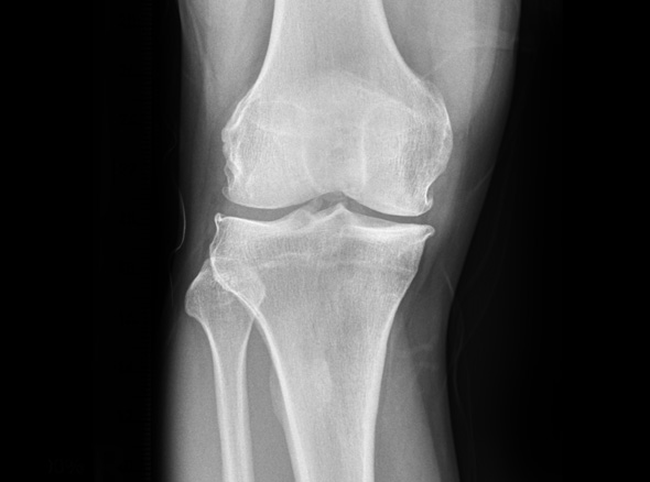
한국인의 대부분에게서 무릎 내측에 무릎 관절염이 발생됩니다.
관절염의 수술적 치료로는 인공관절 수술이 가장 흔하지만, 인공관절 수술을 할 만큼
연골 손상이 심하지 않다면 내측으로 치우친 체중 부하를 정상적인 외측 관절로
이동시키는 ‘무릎관절 교정 절골술’을 시행합니다.

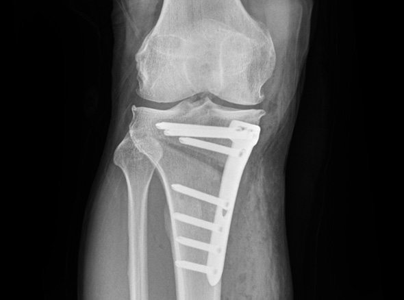
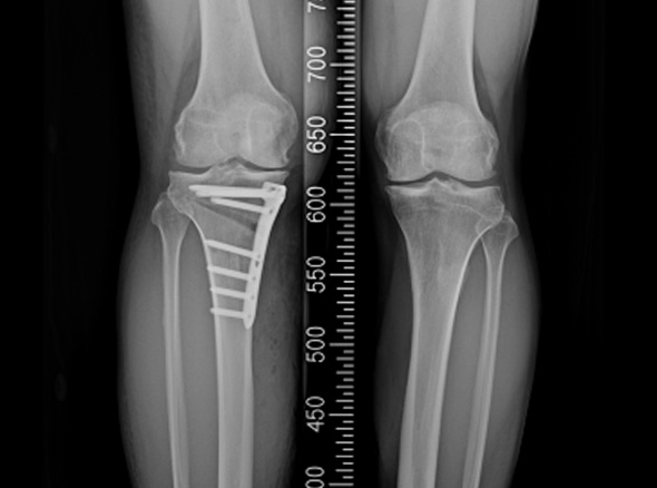
* 환자에게 받은 소중한 자료입니다.
※ 금속판과 나사는 수술 후 약 1~2년 후 제거합니다.
관절내시경을 이용하여 연골재생이나 연골판에 필요한 치료를 시행한 후 경골(무릎 아래 뼈)의 근위부의
계획한 위치까지 절골을 시행한 후 뼈의 탄성을 이용하여 벌립니다. 그리고 금속판과 나사로 고정하여
수술 전 계획했던 X자형 또는 1자형 다리를 만들고 빈 공간에 뼈를 이식하여 골유합을 유도합니다.